
Gezielt behandeln. Frei bewegen.
Verspannungen, Bewegungseinschränkungen oder funktionelle Schmerzen belasten den Alltag vieler Erwachsener. Die manuelle Medizin kann helfen, Beschwerden gezielt zu behandeln, Ursachen zu finden und die natürliche Bewegungsfreiheit wiederherzustellen – sanft, individuell und nachhaltig.
Häufige Gründe für eine Behandlung
Funktionelle Beschwerden
Bewegungseinschränkungen ohne strukturelle Ursache.
Verspannungen & Blockaden
Nacken-, Rücken- oder Kieferbereich.
Schmerzen im Bewegungsapparat
Rücken, Schulter, Hüfte, Knie.
Begleitung bei Stressbelastung
Lösen körperlicher Spannungen in stressigen Lebensphasen.
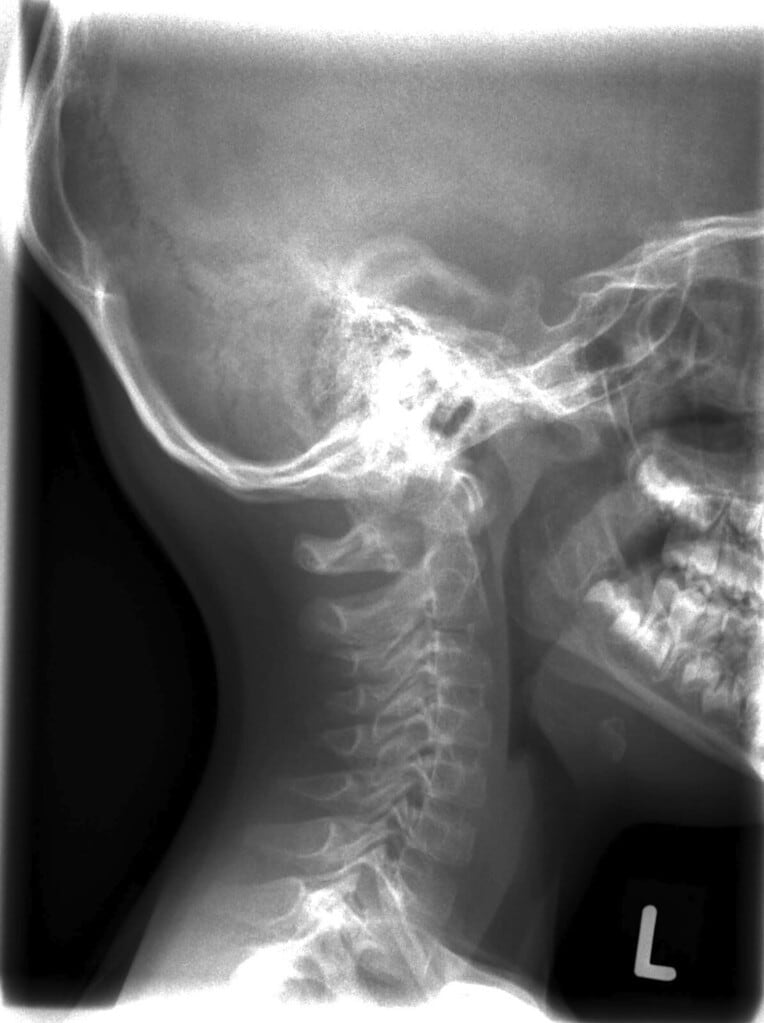
Diagnostik
Zur weiteren Abklärung nutzen wir gezielt Röntgenuntersuchungen an Hals- und Lendenwirbelsäule. Häufig liegen Verspannungen im Nacken oder Kreuzschmerzen in Fehlfunktionen anderer Regionen, wie im Kau-/Kiefersystem, begründet. Außerdem untersuchen wir durch Tasten und Bewegen ihre Beweglichkeit, Spannungen und Blockaden.
Die manualmedizinische Diagnostik betrachtet den Körper ganzheitlich: Beschwerden entstehen oft weit entfernt von der eigentlichen Schmerzregion.

Warum manuelle Medizin für Erwachsene?
Die manualmedizinische Diagnostik und Therapie unterscheidet sich von der klassischen Orthopädie durch ihren funktionellen Ansatz: Im Fokus stehen nicht nur Symptome, sondern die Suche nach den Ursachen von Beschwerden und deren Zusammenhängen.
Auch wir können nicht immer alle Schmerzursachen klären – doch oft lässt sich mit manualmedizinischer Erfahrung gezielt helfen. So erweisen sich manche komplexen Probleme als gut behandelbar, während hinter scheinbar einfachen Beschwerden mitunter eine differenzierte Betrachtung erforderlich ist.
- Zielgerichtete Techniken
- Verbesserung von Beweglichkeit und Funktion
- Unterstützung bei wiederkehrenden Schmerzen
- Ganzheitlicher Ansatz zur Ursachenbehandlung
Was erwartet Sie in der Behandlung?
- Wie läuft eine Behandlung ab?
In unserer Praxis erhalten Sie eine individuelle Behandlung, die auf Ihren Befunden und Beschwerden basiert. Nach einer gezielten Untersuchung und Auswertung von Tast- und gegebenenfalls Röntgenbefunden wird die Behandlung Ihrer Halswirbelsäule in Neutralhaltung durchgeführt. Mit gezielten Handgriffen werden Gelenke und Gewebe gelöst, Muskeln und Faszien behandelt und die Bewegungsfreiheit gefördert. Zusätzlich beraten wir Sie zu Haltung und Bewegung, um Beschwerden langfristig vorzubeugen und Ihre Gesundheit nachhaltig zu unterstützen.
- Wie viele Sitzungen sind notwendig?
Die Anzahl der Behandlungen hängt vom Befund ab. Häufig führt eine manualmedizinsiche Behandlung zu einer deutlichen Linderung der Beschwerden, oder zu einer Beseitigung der Problematik. Im Einzelfall kann es sinnvoll sein, individuelle Kontrollintervalle einzuhalten.
Wichtig zum Termin
Als Vorbereitung auf einen Termin bei uns, füllen Sie bitte schonmal unseren Fragebogen aus. Fragen, die nicht zutreffen oder die nicht verständlich sind, können Sie ruhig offen lassen.
Fragebogen-DownloadErwachsene
Nehmen Sie Ihre Gesundheit in die Hand – wir begleiten Sie gern.
